
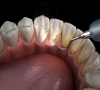
洗牙是維護口腔健康的重要方式,能有效清除牙菌斑、牙結石,預防牙周病。但有人擔心洗牙會有其他的風險,今天維港三康口腔牙醫為您講解。一、洗牙到底洗的是什麼?我們日常... [詳細]
牙齒發黃有很多個影響因素和解決辦法,那麼牙齒發黃到底該怎麼辦呢?接下來維港三康口腔牙醫為您講解。一、牙齒發黃的常見原因1、外源性色素沉著(1)飲食因素:長期飲用... [詳細]
這幾個方便自查牙齒問題的方法你記住了嗎?快跟著維港三康口腔一起來學習吧!一、牙齒顏色正常牙齒為淡乳黃色,若出現以下情況需注意:1.有褐色斑點、局部發黑:可能是蛀... [詳細]
洗牙是通過專業器械去除牙齒表面及牙齦溝內的牙菌斑、牙結石等,達到預防牙周疾病、改善口腔衛生的作用。不同的洗牙方式有什麼區別呢?接下來,深圳三康牙醫為您解答。1.... [詳細]
洗牙是維護口腔健康的重要方式。定期洗牙的好處有以下幾種:1. 有效清除牙菌斑和牙結石平時刷牙很難完全清除掉牙縫等部位的牙菌斑,長期堆積會形成牙結石。洗牙可以通過... [詳細]
在日常生活中,不少人會發現自己的牙結石總是長得很快,才剛洗牙沒多久,牙齒表面又出現了黃黃的硬塊,不僅影響美觀,還可能引發牙齦出血、口臭等問題,接下來維港三康口腔... [詳細]
不少人洗完牙後會遇到這樣的困擾,牙齒突然變得敏感,喝口冷水都覺得刺痛,刷牙時牙齦還會出血,其實,洗牙後出現敏感和出血大多是正常現象,接下來維港三康口腔牙醫給你講... [詳細]
當咖啡漬悄悄附著在牙面,當牙結石不知不覺得堆積,很多人開始關注洗牙。然而,五花八門的洗牙方式讓人眼花繚亂,這些洗牙方式到底有什麼不同,哪種才是最適合自己的?今天... [詳細]
牙結石是口腔清潔不到位時形成的牙菌斑固化而來,常見於老年人和青少年以及抽煙頻繁的人群。那麼牙結石會給我們口腔帶來什麼危害呢?跟著維港三康口腔醫生一起來瞭解一下吧... [詳細]
我們每天都在刷牙,可為什麼還會有蛀牙、口臭等口腔問題找上來?其實這可能跟您的刷牙方式有關。今天,維港三康口腔給大家介紹一種國際公認的科學刷牙法——巴氏刷牙法!一... [詳細]